Czym jest udar mózgu?
- Szczegóły
Udar mózgu to nagłe, miejscowe zaburzenie krążenia krwi w mózgu.
Rodzaje udaru
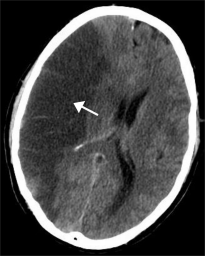
Udar niedokrwienny, inaczej zawał mózgu, (ok. 85 proc. przypadków) - jego przyczyną jest niedokrwienie, czyli nagłe zatrzymanie dopływu krwi do mózgu. Do niedokrwiennego udaru mózgu dochodzi, gdy skrzep krwi lub blaszka miażdżycowa zatka wnętrze naczynia, które doprowadza krew do mózgu.
Udar krwotoczny mózgu, inaczej wylew krwi do mózgu - z uszkodzonych naczyń krwionośnych krew wylewa się bezpośrednio do mózgu lub przestrzeni znajdującej się pomiędzy mózgiem a czaszką. Krew poza naczyniami całkowicie niszczy tkanki, z którymi się styka.
